Als Hirnblutung oder intrakranielle Blutung (Haemorrhagia cerebri) werden Blutungen im Inneren des Hirnschädels, also im Bereich des Gehirns (intrazerebrale Blutung) oder der Hirnhäute (extrazerebrale Blutung) bezeichnet. Erstere entsteht meist plötzlich, insbesondere bei Menschen mit Bluthochdruck, und äußert sich als Schlaganfall. Im weitesten Sinne zählen zu Hirnblutungen auch die Subarachnoidalblutung, Epiduralblutung und Subduralblutung, die beim Schädel-Hirn-Trauma oder Gefäßanomalien auftreten. Hirnblutungen können lebensbedrohlich sein. Viele Patienten mit einer Hirnblutung können neurochirurgisch erfolgreich behandelt werden. Die Inzidenz der Hirnblutung in Deutschland liegt zwischen 10 und 12 je 100.000 Einwohnern.
Vor allem traumatisch bedingte Hirnblutungen kommen gehäuft bei Alkoholkranken vor, da sie im Vollrausch häufig Stürze erleiden, bei denen sie mangels Schutzreflexen mit dem Kopf aufprallen. Zudem können Alkoholabhängige mit einem Leberschaden (Leberzirrhose) eine gestörte Blutgerinnung haben, was Blutungsereignisse begünstigt und verkompliziert.
Die Stammganglienblutung ist eine sogenannte Loco-typico-Blutung (typische Lokalisation für die Blutung). Die Gefäße machen in diesem Bereich einen „Knick“, was die Entstehung einer Blutung begünstigen kann.
Intrakranielle, intrazerebrale Blutungen
Die intrazerebrale Blutung liegt im Gehirn und resultiert in einer Beeinträchtigung der Hirnfunktion, für die das betroffene Hirngewebe benötigt wird. Durch Größe und Lokalisation der Blutung wird deren raumforderndes Verhalten bestimmt. Gefürchtet ist die mit einer Mortalität von 50 bis 60 % im ersten Jahr nach der Blutung einhergehende Hirnmassenblutung, die große Teile des Gehirns zerstört und zu einer Einklemmung führen kann.
Intrakranielle, extrazerebrale Blutungen

Epiduralhämatom
Ein Epiduralhämatom oder epidurales Hämatom entsteht aufgrund einer intrakraniellen Blutung in den Epiduralraum zwischen Schädelknochen und Dura mater, ausgelöst durch ein Trauma, meist mit Fraktur der Schädeldecke, und verursacht eine Kompression des Gehirns.
Zwei Formen mit prognostisch unterschiedlicher Disposition werden unterschieden:
Beim arteriellen Epiduralhämatom reißen die innen auf dem Schädelknochen liegenden arteriellen Gefäße, insbesondere die Arteria meningea media. Typischerweise folgt ein symptomarmes oder symptomfreies Intervall (Latenz), welches schon Victor von Bruns 1854 bekannt war, aber auch komplett fehlen kann, für Minuten bis Stunden.
Die Blutung schreitet fort und drückt zunehmend die harte Hirnhaut (Dura mater) und das Gehirn nach innen. Übelkeit, Erbrechen, Bewusstlosigkeit und Pupillenerweiterung auf der betroffenen Seite sind die Folgen. Es besteht Lebensgefahr. Im Krankenhaus erfolgt meist eine Not-Operation mit Eröffnung des Schädels (Trepanation) oder sogenannter Krönlein-Bohrung (benannt nach Rudolf Ulrich Krönlein) hinter und vor dem Ohr in der Höhe der Augenbrauen der betroffenen Seite zur Druckentlastung. Bereits Bruns formulierte eine absolute Indikation für die frühestmögliche Trepanation beim Epiduralhämatom.
Bei rechtzeitiger Therapie liegen die Überlebenschancen bei etwa 70 % (20 % mit Behinderungen).
Bei einem venösen Frakturhämatom hingegen sickert bei einer Fraktur des Schädelknochens venöses Blut aus dem Bruchspalt in den Epiduralraum. Die Blutung ist, wenn progredient, dann nur langsam und gering.
Bild : Epidurale Blutung bei Fraktur (Pfeil) der Schädelkalotte, bikonvexe Form (linsenförmig), computertomografische Aufnahme (CCT)

Subduralhämatom
Als Subduralhämatom oder subdurales Hämatom (SDH) wird ein durch Verletzung von Venen entstandener Bluterguss (Hämatom) unter (lateinisch sub) der harten Hirnhaut (lateinisch Dura) zwischen Dura mater und Arachnoidea bezeichnet.
Das akute subdurale Hämatom tritt bei schweren Schädelverletzungen begleitend mit weiteren Schäden auf. Es muss bei entsprechender Größe und Dynamik unter Öffnung des Schädels (Trepanation) entlastet werden und endet ohne Operation, insbesondere bei bestehender Mittellinienverlagerung, meist tödlich.
Das chronische Subduralhämatom oder chronische subdurale Hämatom entsteht typischerweise durch leichte Schädel-Hirn-Traumata, definitionsgemäß nach mindestens zwei Wochen, wobei meist (in 50 Prozent der Fälle) bei Exploration kein Trauma zu eruieren ist. Hohes Alter und Gerinnungshemmung (durch Medikamente oder alkoholische Leberschädigung) begünstigen seine Entstehung. Bei älteren Menschen kommt es zu einer physiologischen Hirnvolumenminderung und somit zu einem Zug an den Brückenvenen, die dann durch leichte Traumen beschädigt werden können. Der Abfluss des Blutes über besagte Brückenvenen kann durch das Subduralhämatom behindert werden, so dass es zusätzlich zu einer venösen Kongestion des Hirnteiles kommt, über dem das Subduralhämatom liegt. Kopfschmerzen, Druckgefühl, Desorientierung, Bewusstseinsstörung, aber selten auch Lähmungen, insbesondere Halbseitenlähmungen, können die Folge sein. Auch das chronische Subduralhämatom wird nach außen drainiert, hier ist die Prognose besser als beim akuten.
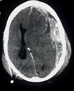
Bild: Subdurale Blutungen bilden im Computertomogramm hingegen meist eine konvex-konkave Form, hier linksseitig (Ansicht von unten, im Bild also rechts)

Subarachnoidalblutung
Die Subarachnoidalblutung (SAB) liegt unter der Spinnengewebshaut (Arachnoidea), die das Gehirn einkleidet. Diese Art von Blutung ist arterieller Natur und hat als führendes Leitsymptom ein plötzliches Kopfschmerzereignis (Vernichtungskopfschmerz) mit Übelkeit und Erbrechen.
Zu einer Subarachnoidalblutung kann es bei einer Ruptur eines Aneurysmas (arterielle Gefäßwandfehlbildung, die zu einer Gefäßaussackung mit mangelhafter Muskelschicht führt) der Arterien vom Circulus arteriosus cerebri (Willisi) oder den daraus hervorgehenden großen Arterien kommen. Bei einer Subarachnoidalblutung ist im Gegensatz zu den beiden anderen Blutungsarten Blut im Liquor cerebrospinalis nachweisbar.
Je nach Ursache der Blutung wird die Subarachnoidalblutung unterschiedlich behandelt, von operativ bis endovaskulär.
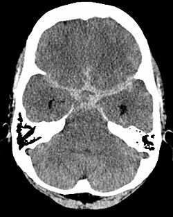
Bild : Subarachnoidale Blutung in den basalen Zisternen (sternförmige Aufhellung in der Mitte)